


西安疫情严峻,但抗疫决心有增无减。西安市第三医院心内一病区超半数的医护人员都被外派出去进行核酸采集任务,在刚刚送走支援新冠肺炎定点收治医院的陈小强医生、陈彦汝护士和陈晶护士后。

12月26日晚,“严医生,这有想要咨询咱们医院的心梗病人救治情况的电话,快出来接一下!”心内一病区的值班护士说道,严定一接起电话后询问道:您好,请问病人是什么情况?在经过间断沟通后得知,患者是一名中年男性,突发急性胸痛,心电图提示“急性前壁肌梗死”,该疾病为心血管疾病中最为危重的疾病之一,有重大死亡风险,虽然目前疫情严重,防控升级,但“时间就是生命,时间就是心肌”,本着“人命大于天”的想法,立即向王昌育主任请示。
王昌育主任指出该患者胸痛不缓解,病情危重,需启动绿色通道,必须立即启动导管室行介入手术,同时向医务科请示、报备,积极联系急诊科和手术团队做好准备。同时又凝重的叮嘱道:一定要关注患者既往和在当地医院的核酸检测结果,现在这种关键时刻千万不能出乱子。再次在电话中交代了诊疗要点,注意查验患者核酸检测结果,并嘱托于当地医院采集核酸抗体检测后立即转至我院,以节省时间。

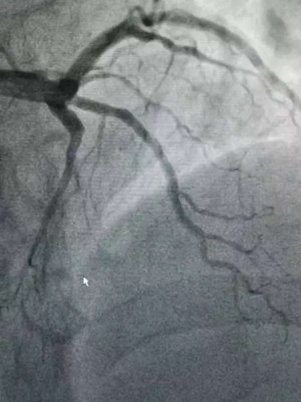
随着救护车急促的铃响,该患者抵达我院急诊科,刘秀敏副主任医师已提前在急诊科等候,在核对患者身份信息无误后,立即对该患者复采核酸,并在电话沟通中得知患者于当地核酸抗体检测为阴性后,立即将病人送至手术室。为确保安全,准备了隔离衣、N95口罩、面屏灯防护措施,心内一病区手术团队顺利为该患者实施了冠脉介入手术,及时开通闭塞的前降支病变。

术前

术后
术后患者症状缓解,并对王昌育主任及心内一手术团队表示真挚的感谢。王昌育主任医师缓缓的对患者说:“疫情无情人有情,我不仅要对你们患者负责,也要对我们医护人员负责,也是我院各科室、部门相互协作才能顺利给您完成手术,祝您早日康复!”说完便转身离去,只留下坚毅的背影和湿透了的手术衣。
温馨提示,急性心肌梗死的典型症状,近期内如反复出现心前区疼痛3-5分钟,呈压迫性或烧灼样,可延伸至颈部及手臂,伴有胸闷、气短,有时合并恶心、出汗等症状,为心绞痛发作,若发作的频率、程度、性质较前加重,或类似这样胸痛持续20分钟以上仍不缓解,同时伴气促,出汗,头晕、恶心、呕吐等症状,含服硝酸甘油等药物效果减弱或无效,将高度怀疑有急性冠脉综合征,建议及时就诊。
稿件来源:西安市第三医院