


主动脉夹层(aortic dissection,AD)为主动脉壁内膜损伤后,血液通过内膜破口进入主动脉壁中膜并在两层膜之间形成血肿。也称为主动脉内膜分离,简称主动脉夹层。它是一种严重危害人类健康的危急病症,被称为身体内的“定时炸弹”。如治疗不及时,急性主动脉夹层患者约33%在24h内死亡,50%在48h内死亡。

“叮铃铃——”,近日一个晚上,影像科CT室突然响起一阵急促的电话铃声,原来是医院总值班打来的电话,急诊科接诊了一位胸痛患者,高度怀疑主动脉夹层,需要紧急做主动脉CTA检查。影像科迅速启动急危重症患者检查绿色通道,诊断医师和CT技师迅速安排到位。诊断医师在一边告知家属及急诊医师CTA检查的注意事项,另一边CT技师做好检查前的各项准备工作,加热造影剂,连接高压注射器管路等,几分钟后检查顺利完成,结果提示患者为主动脉夹层。病例资料如下。
病例回顾
患者,男,40岁。主诉:胸痛1小时入院,无呼吸困难及咳血症状,休息后无缓解,有放射至后背,有高血压病史,D-二聚体0.347mg/l ↑。主动脉CTA血管成像表现如下:


增强薄层CT图像清晰显示撕裂的内膜,表现为弯曲的线样低密度影。(黑箭)

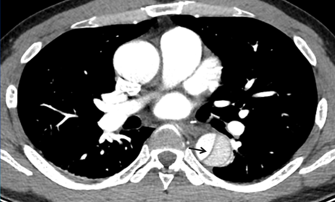
薄层横断面图像及多平面重组图像可以看到夹层破口(黑箭),表现为真腔和假腔之间沟通的通道。
真假腔的显示:真、假腔可同时显影,或假腔强化和排空比真腔延迟,一般情况假腔较大,真腔较小。(真腔黄箭,假腔白箭)
病因
1、任何破坏主动脉中层弹力纤维或平滑肌成分完整性的疾病都能使主动脉夹层分离。
2、主要易患因素高血压。
(1)高血压,主动脉粥样硬化:约占70%~90%。
(2)主动脉中层病变:Marfan综合征。
(3)内膜撕裂:二叶主动脉瓣、主动脉狭窄。
(4)妊娠,主动脉炎。
(5)医源性以及创伤,介入治疗中和车祸所致减速伤。
(6)梅毒、心内膜炎、系统性红斑狼疮、多发性结节性动脉炎等。

临床表现
1.疼痛 : 大多数患者突发胸背部疼痛,剧烈难以忍受,呈刀割或撕裂样。
2.高血压:大部分患者伴有高血压。
3.心血管症状:伴主动脉瓣关闭不全时在主动脉瓣区出现舒张期吹风样杂音。
4 .缺血症状:表现为肠系膜上动脉缺血、肾动脉缺血、冠状动脉缺血等,并出现相应症状。
5.压迫症状:喉返神经受到压迫,可导致声音嘶哑。气管受压可引起咳嗽及呼吸困难。向食管穿破则引起呕血。
6.夹层破裂:夹层破裂是患者死亡的主要原因。

主动脉CTA检查是什么?
主动脉CTA检查是利用含碘造影剂在X光下的显影作用,通过CT扫描来显示主动脉全程血管及其分支的检查。一般的平扫CT没有办法分辨清楚主动脉血管与周围组织,在主动脉血管内注入造影剂,可以清楚将主动脉与周围组织分辨开,同时也可以将主动脉血管腔内的病变显示出来。
主动脉夹层分型(Debakey分型)
根据破口位置及夹层累及范围,分为三型
I型:破口位于主动脉瓣上5厘米内,近端累及主动脉瓣,远端累及主动脉弓、降主动脉、腹主动脉,甚至达髂动脉。
II型:破口位置通I型相同,夹层仅限于升主动脉。
III型:破口位于左侧锁骨下动脉开口以远2~5厘米,向远端累及至髂动脉。

诊断要点
1. 多见于中年患者,常合并有难治性高血压病史。
2. 临床表现为急性撕裂样胸背痛或胸腹痛。
3. 实验室检查可有D-二聚体快速升高。
4. 超声、CTA、MRI等影像学检查具诊断价值,尤其是主动脉CTA,在主动脉管腔内见到线样低密度内膜片影,即可明确诊断AD。此外,CT可对整个主动脉进行综合评估,包括内膜片撕裂累及的范围,扩张主动脉直径,重要分支的受累及器官缺血等。
稿件来源:西安市第五医院