


近日,马先生因反复受到腹痛、高热及黄疸的困扰来到西安市红会医院消化内科就诊。医生们为他安排了CT和磁共振检查,但是这些检查都没有发现任何问题。此时马先生的症状非但没有好转,反而更加严重,还引发了严重的血液感染。当先进的影像学检查如CT和磁共振未能找出病因,而患者的腹痛依然不见好转时,该怎么办呢?

CT肝内胆管扩展 未见胆道结石

MRCP肝内胆管扩展 未见胆道结石
超声内镜(EUS)便是破解这一难题的关键技术!超声内镜(EUS)像一名“医学侦探”精准锁定胆总管内的隐藏结石,并通过ERCP微创取石,迅速缓解危机!胆总管结石是引发腹痛、黄疸的常见病因,但有些结石“藏得深”,常规检查难以发现。

超声内镜(EUS)发现胆总管下段微小结石

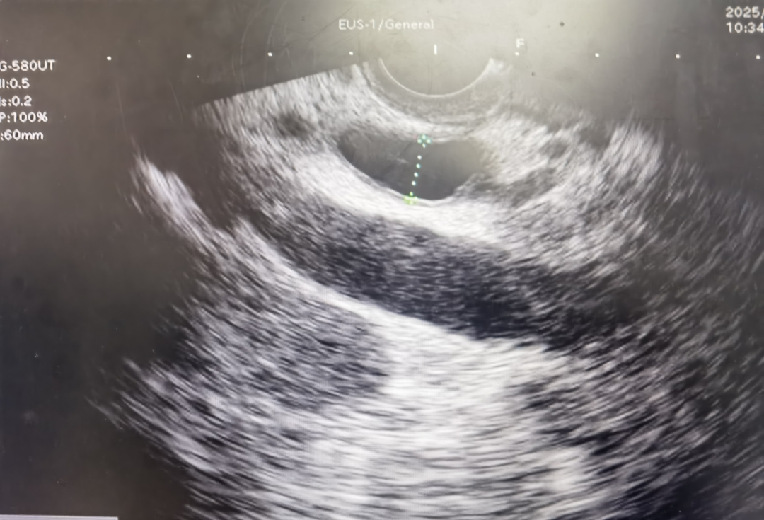
超声内镜(EUS)胆总管上段扩展并胆管炎

ERCP术中造影见胆总管下段微小结石

ERCP术中取出黄色结石
为什么CT和MR可能“漏诊”?
CT扫描:依赖X射线成像,对密度差异大的结构(如钙化结石)敏感,但对微小或非钙化结石可能漏诊。
磁共振(MRCP):无创显示胆管结构,但对小于5毫米的结石或胆管轻度扩张的情况分辨率有限。
超声内镜的优势:精准定位,一目了然。
超声内镜将高频超声探头与内镜结合,直接贴近消化道壁扫描,实现“近距离高清成像”:
1. 高分辨率:可发现小至2-3毫米的结石,尤其是非钙化结石。
2. 无盲区:清晰显示胆总管下段、胰头区等CT/MR难以观察的部位。
3. 实时引导:为后续ERCP取石提供精准定位,降低手术风险。
超声内镜助力精准治疗
患者反复腹痛,CT和MR均未发现异常,但通过超声内镜发现了隐藏的胆总管结石。随后,医生通过ERCP(经内镜逆行胰胆管造影)成功取出结石,腹痛即刻缓解。
-ERCP的作用:既是诊断工具,也是治疗手段,但需精准定位结石位置,超声内镜为此提供了关键信息。
超声内镜的科普意义
减少误诊:弥补CT/MR的不足,避免患者因“查不出病因”而延误治疗。
微创高效:检查过程类似胃镜,安全快捷,患者接受度高。
优化治疗:明确诊断后,可制定针对性方案(如ERCP),提升疗效。
超声内镜如同医生的“透视眼”,让隐藏的结石无所遁形。若您出现不明原因腹痛、黄疸,且常规检查无果,不妨咨询医生是否需要超声内镜排查,早发现、早治疗,守护胆道健康!
小贴士
超声内镜无需开刀,检查前需空腹,由经验丰富的内镜医师操作,安全性高。

郭学刚,主任医师,红会医院消化内科首席专家,教授,博士生导师,2020年由空军军医大学西京医院人才引进。2014名医百强榜,2016获评国内医学十大新闻,2018、2019国之名医。
郭学刚教授长期从事临床一线工作,业务技术精湛,擅长消化内镜微创诊治技术和相关 临床研究,在消化内镜规范化培训、提高消化内镜病变发现率、开展消化内镜新技术等方面 取得一定成绩。应邀在第27届香港国际治疗内镜技术研讨会等国际、国内学术会议上进行 专题讲座和内镜操作现场演示达100余场。有较强的教学及科研能力,走遍全国进行内镜微 创治疗操作技术的专题讲座和手把手教学,建立 ERCP 培训基地,提出“ERCP 围手术期全 程管理体系”,举办ERCP 培训班,培养出来自31省的100余名高级内镜医师,在西京消化 科主任学习班授课59期,受训人数近万人。2013年7月在香港两岸三地内镜高峰论坛上做 为大陆唯一讲者做专题讲座、展示了我国大陆消化内镜技术的高超技术水平。2013年7月 26号解放军报就本人的高超内镜诊疗技术做了专题报道。
先后承担国家自然科学基金8项,参与国家支撑计划1项,在研教育部卫生行业科研项 目1项。近五年以通讯作者或第一作者论文16篇,单篇影响因子最高达45.5分,论文发表 在Lancet 、AJG 、GUT 、CGH 、Endoscopy 、GIE 等专业学术期刊。担任副主编出版专著1 部,主译专著2部,其中《ERCP》译著已成为国内ERCP医生人手1册的重要专业参考书。 曾获第二届全国中青年消化学术研讨会二等奖1项,获解放军四总部颁发的教学银奖。本人 长期承担本科学员、研究生的教学任务,培养博/硕士研究生共21名。于2005年获解放军 四总部颁发的教学银奖。
学术任职:
中华医学会消化内镜学分会副主委 ERCP学组副组长
老年内镜协作组组长
中国医师协会内镜分会常委、
消化内镜分会副主委、
消化内镜培训学院院长
陕西省消化内镜分会主委
国家消化内镜质控专家组委员
中国非公立医疗机构消化内镜专委会副主委 中关村消化内镜技术创新战略联盟副理事长 中国医学装备协会消化分会副会长
全军消化专委会秘书长
世界华人消化医师协会委员 中华消化内镜杂志副主编等
门诊时间:每周四下午专家门诊

施育鹏,西安市红会医院内镜中心主任,消化内科南院区负责人,2020年由空军军医大学西京医院人才引进。
擅长:消化系统的常见多发病诊治:1.消化系统肿瘤的化疗、分子靶向、免疫治疗及个体化 治疗;2小肠疾病、不明原因的消化道出血的诊治;3、消化道早期癌的诊断及内镜下治疗;4、 胆胰疾病的诊断及治疗;5、内痔微创治疗;5胃鏡、结肠镜、十二指肠镜、小肠镜、超声 内镜检查及内鏡下治疗(EMR、ESD、ESE、ERCP、消化道狭窄支架植入、内镜下胃造瘘术 PEG、 经内镜TET 管置入术、内镜下异物取出、止血、营养管置入、小肠减压管置入、吻 合口狭窄扩张等);6、肥胖、顽固性便秘的肠菌移植(FMT)治疗。
学术任职:
中国抗癌协会肿瘤标志专业委员会委员
中国医学装备协会消化病学装备与技术分会委员
中国医药教育学会消化专业委员会青委 陕西省日间医疗学会青年分会副主委
陕西省医师协会内镜医师分会常委 《临床医学研究与实践》编委
中国抗癌协会肿瘤标志专业委员会CTC 技术专家委员会委员
陕西省抗癌协会胃肠间质瘤专业委员会委员 陕西省抗癌协会肿瘤综合治疗委员会委员
陕西省中西医学会消化内镜专委会委员 整合肿瘤临床免疫分会专业委员会委员 陕西省抗癌协会肿瘤内镜专委会委员
陕西省研究型医院学会消化内镜专业委员会委员 陕西省医师协会肝病专业委员会委员
陕西健康促进与教育协会消化委员会委员
陕西省抗癌协会整合肿瘤临床免疫分会委员
门诊时间:每周一上午 互联网医院(24小时线上就诊)


方洒,医学硕士,西安市红会医院消化内科主治医师,2020年由空军军医大学西京医院人才引进。主要从事消化系统疾病的临床诊治和研究工作,住院医师规范化培训带教医师。2022年荣获消化疾病诊疗思维陕西省一等奖。
擅长:内镜下胃息肉、结肠息肉切除术等微创操作,超声内镜诊断治疗。对食管炎、胃炎、幽门螺杆菌相关性胃炎、消化不良、胃溃疡、胃食管反流病、便秘、神经内分泌肿瘤、溃疡性结肠炎、克罗恩病、 病毒性肝炎、原发性胆汁性胆管炎、自身免疫系性肝炎、胰腺炎、肝癌、肝衰竭等消化系常 见病及疑难疾病有丰富经验。以第一作者及通讯作者发表核心期刊论文及SCl 论文22篇,编者参与出版著作2015年《阅兵训练保健手册》、2024年《炎症性肠病疑难病例集》, 多次在全国消化系病年会投稿录用及发言,目前主持西安市卫生健康委员会临床科研项目一项。
学术任职:
陕西省抗癌协会肿瘤康复专业委员会委员
陕西省抗癌协会肿科普专业委员会委员
陕西省保健学会早癌筛查委员会委员
西安医学会肝病学分会委员
门诊时间:每周三上午 周四下午 互联网医院(24小时线上就诊)

稿件来源:西安市红会医院