


12月9日凌晨,西安高新医院急诊来了一位面色苍白的阿姨,手捂腹部,痛苦地说:“肚子疼了两天了,这7个小时疼得越来越厉害……”普外科周亮主任接诊后,得知李阿姨(化名)早在3年前体检就发现患有胆囊结石,但一直没有重视。3个月前,李阿姨的结石发作过一次,但还能忍受,就没有就医。没想到这一次腹痛来得又急又猛,完全无法忍受。


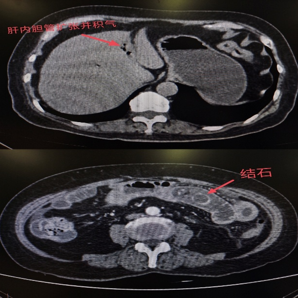
随后腹部CT检查结果显示:李阿姨的胆囊已经发生穿孔,一枚结石从破口处掉进小肠,并牢牢卡在肠腔内,形成了机械性肠梗阻。 更严重的是,由于结石嵌顿时间较长,已导致局部肠壁明显水肿、炎症。
周亮主任立即组织科室讨论,决定先尝试保守治疗,通过禁食、胃肠减压、灌肠通便、抗感染等措施,让结石能自行排出。然而,经过整整一周的严密观察与治疗,结石仍纹丝不动,肠梗阻持续存在。
考虑到她年龄较大、存在胆囊穿孔且结石已引起肠梗阻等复杂情况,普外科周亮主任团队与家属进行了充分沟通,最终制定了“分步处理、先急后缓”的手术方案。12月16日,周亮主任为李阿姨施行了小肠切开取石术 。手术中,周亮主任在李阿姨的小肠内共取出三枚结石,最大的一枚直径约5厘米,类似于鸡蛋形状。

李阿姨小肠内取出的三枚结石
术后,李阿姨的腹痛症状迅速缓解。在普外科医护团队的精心照护下,恢复良好,已顺利出院。周亮主任表示,待李阿姨身体完全康复后,还需择期接受胆囊切除术,以根除结石来源,避免复发。
“胆石性肠梗阻”是胆囊结石一种较为少见但严重的并发症,往往因结石长期刺激胆囊壁,导致慢性炎症、穿孔,结石随后进入肠道引发梗阻。因此,对于存在以下情况的人群,应及时就医处理:体检发现胆囊结石,即使无症状,也应定期随访,必要时咨询专科医生;一旦出现持续腹痛、发热、呕吐、停止排气排便等症状,务必及时就医,切勿硬扛;若结石反复发作或存在并发症风险,建议尽早考虑手术治疗,目前腹腔镜胆囊切除术已相当成熟,创伤小、恢复快。胆囊结石不是小毛病,重视早期诊断与规范治疗,才能避免从小石头发展成大麻烦。
稿件来源:西安高新医院