


1月12日,西安市第一医院眼科门诊接到一位来自内蒙古24岁女性患者亲属的紧急求助。该患者4天前突发右眼视力骤降至光感,当地医院确诊为视网膜中央动脉阻塞,经治疗后病情未见改善。家属辗转多家医院,均被告知该病目前尚无有效治疗方法,最终联系到西安市第一医院。西安市第一医院经神经眼病中心逯青丽副主任充分评估后认为,尽管患者病情严重、预后不佳,但仍存一线治疗希望。患者与家属商议后,最终决定来院就诊。
1月13日,神经眼病中心团队为患者成功实施眼动脉溶栓术。术后患者视力即刻改善,从术前的“手动/眼前”提升至“数指/1.5m”。次日晨查房时,视力已恢复至0.1(近视力表)。经积极治疗后,患者目前视力恢复至0.2(近视力表)。同时团队对患者病因进行了详细评估,经检查确认为先天性卵圆孔未闭,并据此积极调整了诊疗方案。

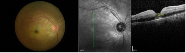
视网膜中央动脉阻塞典型症状为突发无痛性单眼视力丧失,眼底检查为视网膜苍白水肿,黄斑呈“樱桃红斑”,视盘正常。光相干断层扫描表现为后极部视网膜内层增厚,病灶呈高反射信号,视网膜正常层间结构消失。老年患者病因主要是动脉粥样硬化。对于青中年患者,需重视先天性心脏病的筛查,尤其需警惕卵圆孔未闭等可能病因。
视网膜中央动脉阻塞是一种医学急症,传统上缺乏有效疗法,致盲率极高。我院神经眼病中心在吴松笛副院长的带领下,长期致力于该病的诊疗与研究,通过眼动脉溶栓等综合治疗,已帮助来自国内多个省市、诸多此类患者恢复至功能性视力(≥0.2)。中心还牵头制定了《中国视网膜中央动脉阻塞临床诊疗专家共识》,彻底改变了该病的诊疗流程和救治方法,也为众多患者带来了新的复明希望。
专家简介

逯青丽,硕士研究生,副主任医师,神经内科和神经眼病中心副主任。中国研究型医院学会神经眼科委员会委员,陕西省研究型医院学会神经眼科委员会常委,陕西省卒中学会第二届理事会理事,陕西省保健学会神经内科委员会委员,陕西省医师协会神经介入委员会委员。专业特长:脑血管疾病、血管神经眼科。主持和参与陕西省科技计划项目、西安市科技计划项目多项。第一作者发表专业论文20篇。《中国视网膜中央动脉阻塞临床诊疗专家共识》执笔作者。
出诊时间:粉巷院区(周二上午)、高新院区(周四上午)
供稿来源:西安市第一医院