


四年前,36岁的李先生(化名)因心前区不适在当地医院就诊,检查发现心腔(左心房)内肿瘤,接受了第一次肿瘤切除手术(经手术和病理诊断为粘液瘤)。术后一年,肿瘤在右心房内出现,经手术切除后证实为粘液瘤复发,谁知一年后右心房内又再次发现和前两次类似的肿瘤,于是又进行了第三次开胸手术切除,术后病理证实为同一性质的粘液瘤。
去年8月,李先生又感到胸闷及活动后气短,检查发现在右心室流出道又有新发粘液瘤,随后去外院就诊,进行了基因检测,提示为卡尼综合征(Carney 综合征)。近期自觉症状加重,超声检查显示肿瘤明显增大,堵塞右心室流出道血流,还有明显的三尖瓣关闭不全。为寻求进一步治疗,李先生来到西安高新医院心脏大血管外科。

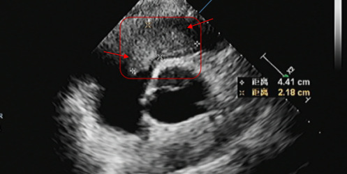
术前影像显示,心腔内粘液瘤已明显增大
虽然李先生正值壮年,但已在外院经历三次开胸手术,第四次开胸,最难的不是肿瘤本身有多大、多复杂,而是三次手术留下的创伤、组织愈合及瘢痕组织,让心脏、大血管、胸骨、心包全部粘在一起,正常的解剖结构不清晰,组织间隙早已消失,锐性或钝性分离稍有不慎,就是心脏或血管破裂、大出血。这不是一次简单的手术,而是一次难度指数级上升的挑战。

陈文生主任医师手术中
手术由西安高新医院心脏大血管外科陈文生主任医师主刀,从胸骨后开始,一毫米一毫米地分离。没有现成的层面,就在瘢痕里修出一条路,没有清晰的界限,就靠经验和手感辨别。手术总共时长仅4个小时,粘液瘤完整切除,心脏结构精细修复,过程顺利,没有任何副损伤。
术后4小时,李先生顺利脱离呼吸机拔除气管插管,当夜就开始饮水,第一天全部引流仅仅120毫升。术后恢复很顺利,精神状态良好,已康复出院。
从不能到能,是技术,更是信念。心脏再次手术,尤其第四次开胸,向来是心脏外科领域风险最高的挑战之一。不是因为技术上做不到,而是开胸难、术中分离难、耗时长、并发症风险极高,但这一次,陈文生主任团队做到了。心脏再次手术的核心难点,在于安全通过粘连和瘢痕区抵达肿瘤所在的心腔。从入路选择、粘连松紧,到重要结构的辨识与保护,每一步都建立在大量复杂病例经验之上。没有路,就靠经验和技术修出一条路——这才是第四次开胸成功的真正底气。这不仅见证了一位患者的勇气,更验证了一支团队在心脏手术领域的技术实力。
【心脏肿瘤·快速科普】
1.心脏也会长肿瘤吗?
会。原发性心脏肿瘤约75%-80%为良性,最常见的是粘液瘤。
2.有什么症状?
心悸、胸闷、气短(尤其体位改变时加重);部分患者因肿瘤碎片脱落发生脑梗、肢体栓塞才被发现。
3.为什么容易复发?
复发的原因比较多,与首次手术未能完整切除、肿瘤呈多发性或浸润生长,少数与遗传相关(如卡尼综合征)。
4.多开胸还能再做吗?
可以,但风险极高。必须在经验丰富的大型心脏中心,由专家团队充分评估后实施。
5.怎么治疗?
良性肿瘤以手术完整切除为首选,效果良好。术后需定期复查心脏超声。
西安高新医院心脏大血管外科陈文生主任医师提醒:不明原因心悸、胸闷,建议及时去医院检查。心脏术后务必遵医嘱定期复查。多次手术不是禁区,选对团队是关键。

西安高新医院心脏大血管外科(原胸心外科)成立于2002年,是陕西省重点专科建设项目,现已发展成为在陕西省有重要影响力的心血管疾病的诊断和治疗中心。常年肩负西安市及周边省市区心血管疾病的诊疗工作,同时承担着西安医学院、延安大学医学院的临床教学工作。目前能够开展包括人工心脏手术、微创心脏手术、全动脉化冠脉搭桥术、大血管疾病手术在内的各类心血管外科疾病的诊疗工作,已跻身于国内先进水平行列。
科室设有普通门诊诊室1间、专家门诊1间、心外超声室、心脏大血管外科监护病房。心脏大血管外科病区设有床位60张,监护病房床位15张。共有医护人员67人,高级专业技术人才13人,其中心脏大血管外科主任陈文生教授,为医学博士、博士研究生导师,曾任第四军医大学西京医院心血管外科成人心脏病区主任,具有丰富的临床经验;监护室医护人员骨干和体外循环师具有在西京医院从事体外循环工作10年以上的工作经历。
疾病诊疗范围:主要开展冠心病、风湿性心脏病、心脏瓣膜病、先天性心脏病、心脏肿瘤、心肌病、心脏外伤、心律失常、各种重症晚期心脏病以及大血管疾病在内的各类心血管外科疾病的手术及介入诊疗工作。开辟了主动脉夹层住院绿色通道。
稿件来源:西安高新医院